Koronavirusun qorxunc təsiri – FOTO
Dünyada milyonlarla insana ötürülən və orqanizmə verdiyi zərər elm dünyasında tam başa düşülməyən koronavirusla bağlı təəccüb doğuracaq məlumat yayılıb.
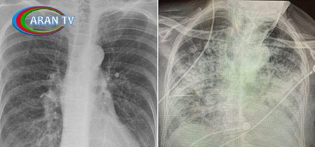
“Sözçü” xəbər verir ki, ABŞ-ın Texas ştatında Texnologiya Universiteti Tibb Elmləri Mərkəzinin dosenti Britani Bankhed-Kendall koronavirus xəstələrinin ağciyərlərinin görünüşünü siqaret çəkən və sağlam şəxslə müqayisə edib.
Alimin paylaşdığı rentgen nəticələri diqqət çəkib. Sol tərəfdəki şəkil siqaret çəkən, sağ tərəfdə isə koronavirusdan sağalan insanın ağciyərini göstərir.
Rentgendə qara rənglər nə qədər çox olarsa, deməli həmin insanın ağciyəri və sağlamlığı bir o qədər yaxşıdır.
Əldə edilən nəticədən o qənaətə gəlmək olar ki, koronavirus keçirən insanın ağciyəri siqaret çəkən şəxslərinkindən daha çox zədələnmiş olur.
Mütəxəssis qeyd edib ki, bir çox insan koronavirusun ölümcüllüyündən danışır, ancaq bu xəstəlikdən sağalanların da gələcəkdə problemləri olacaq.

